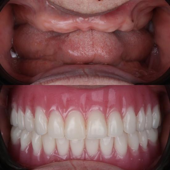
Perte de dents, prothèse cassée ou inconfort au quotidien : les problèmes liés à la dentition peuvent nuire à la qualité de vie. À Liège, L’Art Dentaire vous accompagne dans la restauration de votre sourire grâce à des solutions sur mesure. Que vous ayez besoin d’un dentier sur mesure, d’un bridge dentaire ou d’une prothèse fixe, notre équipe pluridisciplinaire vous reçoit dans un cadre moderne, pour des soins adaptés à vos besoins. Pour toute demande de prothèse dentaire à Liège, nos dentistes sont à votre écoute.


Une prothèse bien conçue améliore non seulement l’apparence du sourire, mais aussi la mastication et la prononciation. L'Art Dentaire vous propose différentes options pour répondre à chaque situation : prothèses amovibles, solutions sur implants ou prothèses fixes. Nos praticiens veillent à préserver l’équilibre de la bouche, en évitant les déplacements des dents restantes.
Les avantages sont multiples : confort retrouvé, meilleure digestion grâce à une mastication efficace, et impact positif sur la confiance en soi. Si une casse survient, nos dentistes à Liège assurent la réparation de prothèse dentaire dans les meilleurs délais. Chaque plan de traitement est établi avec précision, en tenant compte de votre santé bucco-dentaire globale et de votre budget.
Dès la première consultation, nos dentistes établissent un diagnostic précis à l’aide d’outils modernes (radio 3D, empreintes numériques). Selon votre cas, nous pourrons vous proposer :
Nos traitements s’inscrivent dans une démarche globale, associant souvent des soins de dentisterie générale ou d’implantologie. Nos patients bénéficient d’un suivi personnalisé, avec des explications claires sur les étapes et les choix thérapeutiques. L’objectif est de vous redonner un sourire fonctionnel et durable, en toute confiance.


Notre cabinet de soins dentaires à Liège est conventionné et pratique le tiers payant. Vous pouvez ainsi accéder à des soins de qualité sans avance de frais. Pour éviter des interventions lourdes, nous recommandons des bilans réguliers incluant un détartrage, afin de préserver une bonne hygiène bucco-dentaire. Si une extraction ou une prothèse devient nécessaire, nous vous proposerons la solution la plus adaptée.
Nos créneaux sont disponibles rapidement, avec la possibilité d’un rendez-vous en urgence sous 48 h. Contactez-nous pour toute question ou pour fixer une consultation. L’équipe de L’Art Dentaire à Liège est à vos côtés pour vous accompagner vers un confort retrouvé.
Consultez également :